Chỉ với kích thước vỏn vẹn 2mm, một con chip điện tử siêu nhỏ đã mang đến hy vọng mới cho những người khiếm thị. Thiết bị này không chỉ mở ra cơ hội đọc sách trở lại mà còn đánh dấu bước ngoặt quan trọng trong công nghệ thị giác nhân tạo. Bài viết sẽ giới thiệu chi tiết về phát minh nổi bật này và cách nó đang thay đổi cuộc sống của hàng triệu người trên toàn cầu.
Giới thiệu về con chip điện tử siêu nhỏ Prima
Con chip Prima là một phát minh đột phá trong lĩnh vực y học hiện đại, được thiết kế nhằm hỗ trợ người mất thị lực do các bệnh lý võng mạc. Chiếc chip siêu nhỏ này có khả năng biến đổi các tín hiệu hình ảnh thành các kích thích điện tử, giúp truyền tải thông tin trực tiếp đến não bộ thông qua hệ thống thần kinh thị giác. Đây thực sự là một bước tiến lớn trong việc tạo ra các thiết bị hỗ trợ thị giác nhân tạo, mở rộng khả năng phục hồi cho những người từng bị mù bẩm sinh hoặc mất thị lực do bệnh tật.

Vật thể chỉ 2mm làm nên điều kỳ diệu, giúp người mù đọc sách trở lại
Kích thước và cấu tạo của con chip
Con chip Prima có kích thước cực kỳ nhỏ gọn, chỉ khoảng 2mm vuông, khiến việc cấy ghép vào mắt trở nên khả thi mà không gây tổn hại nghiêm trọng đến cấu trúc nhạy cảm của võng mạc. Cấu tạo của nó bao gồm các điện cực vi mô có khả năng kích thích trực tiếp các tế bào thần kinh dưới võng mạc, đồng thời tích hợp bộ xử lý tín hiệu bên trong để chuyển đổi hình ảnh thu nhận từ bên ngoài thành dạng tín hiệu phù hợp. Độ nhỏ gọn và tinh vi của thiết bị này chính là yếu tố then chốt giúp nó hoạt động hiệu quả và an toàn.
Đơn vị nghiên cứu và thử nghiệm lâm sàng quốc tế
Phát triển bởi đội ngũ chuyên gia công nghệ sinh học tại Mỹ, con chip Prima đã trải qua quá trình nghiên cứu nghiêm ngặt cùng nhiều đợt thử nghiệm lâm sàng phối hợp với các trung tâm y tế hàng đầu trên thế giới. Việc triển khai thử nghiệm được thực hiện đa quốc gia nhằm đảm bảo độ an toàn cao nhất cũng như đánh giá chính xác hiệu quả phục hồi thị giác ở bệnh nhân. Quá trình này không chỉ khẳng định tiềm năng ứng dụng thực tiễn mà còn góp phần hoàn thiện công nghệ cho những phiên bản tiếp theo.
Tầm quan trọng trong lịch sử thị giác nhân tạo
Prima được xem là một bước phát triển đáng kể so với các thế hệ thiết bị hỗ trợ thị giác trước đây nhờ khả năng cung cấp hình ảnh rõ nét hơn và hạn chế tối đa tác dụng phụ. Sự ra đời của loại chip kích thước nhỏ gọn này đã mở ra kỷ nguyên mới cho công nghệ phục hồi thị lực bằng cách kết hợp giữa kỹ thuật vi điện tử và y sinh học hiện đại. Nó không chỉ giúp cải thiện cuộc sống cho người khiếm thị mà còn truyền cảm hứng cho nhiều nghiên cứu sâu hơn về thần kinh học và kỹ thuật tái tạo cảm giác.
Thoái hóa điểm vàng thể khô – nguyên nhân gây mất thị lực
Thoái hóa điểm vàng thể khô (AMD) là căn bệnh phổ biến nhất dẫn đến mất thị lực ở người lớn tuổi trên toàn thế giới. Bệnh ảnh hưởng trực tiếp đến vùng điểm vàng – khu vực trung tâm võng mạc chịu trách nhiệm quan trọng trong việc nhìn chi tiết và nhận diện màu sắc. Khi thoái hóa xảy ra, tế bào cảm quang tại điểm vàng dần suy giảm chức năng cho đến khi không thể hoạt động, khiến người bệnh dần mất đi khả năng thấy rõ chữ viết hay hình ảnh xung quanh.
Đặc điểm bệnh thoái hóa điểm vàng do tuổi tác (AMD)
Bệnh AMD phát triển âm thầm qua nhiều năm với sự thoái hóa dần dần của lớp tế bào biểu mô sắc tố võng mạc, dẫn đến suy giảm khả năng hấp thụ ánh sáng và chuyển đổi tín hiệu hình ảnh. Thoái hóa điểm vàng thể khô chiếm tỷ lệ cao nhất trong tổng số các trường hợp AMD, đặc trưng bởi sự tích tụ các lớp chất thải dưới võng mạc làm cản trở dinh dưỡng lên tế bào cảm quang. Triệu chứng bắt đầu từ việc nhìn mờ trung tâm, khó phân biệt chi tiết nhỏ rồi tiến triển nặng hơn nếu không được can thiệp kịp thời.
Tác động đến tế bào cảm quang ở võng mạc
Trong quá trình thoái hóa, tế bào que và tế bào nón – hai loại tế bào cảm quang chính chịu trách nhiệm nhận biết ánh sáng và màu sắc – bị tổn thương nghiêm trọng tại vùng điểm vàng. Khi chúng không còn hoạt động đúng cách, tín hiệu truyền lên não bộ giảm sút hoặc mất hẳn, dẫn đến tình trạng mù trung tâm hoặc giảm mạnh khả năng nhận diện hình ảnh. Tác động này kéo theo sự suy giảm chất lượng cuộc sống của người bệnh khi họ mất đi khả năng đọc sách hay nhận biết khuôn mặt người thân.
Số liệu người bị ảnh hưởng trên thế giới và tại Anh
Theo thống kê y tế toàn cầu, AMD ảnh hưởng tới hàng chục triệu người trưởng thành trên thế giới, với tỷ lệ tăng cao song hành cùng quá trình già hóa dân số. Tại Vương quốc Anh, khoảng hơn 600.000 người đang phải đối mặt với tình trạng thoái hóa điểm vàng thể khô dẫn đến mất thị lực nghiêm trọng hoặc mù lòa. Con số này dự báo sẽ còn gia tăng trong những thập kỷ tới nếu chưa có biện pháp điều trị hiệu quả nào áp dụng rộng rãi.
Cơ chế hoạt động của công nghệ chip Prima
Công nghệ chip Prima dựa trên nguyên tắc chuyển đổi các tín hiệu hình ảnh thu nhận từ môi trường bên ngoài thành các xung điện kích thích trực tiếp lên tế bào thần kinh ở võng mạc, mở ra khả năng truyền tải hình ảnh thông qua mạng lưới thần kinh lên não bộ. Thiết bị tích hợp nhiều thành phần như kính thực tế tăng cường với camera thu nhận hình ảnh, bộ xử lý sử dụng trí tuệ nhân tạo để xử lý dữ liệu và con chip micro cấy ghép dưới võng mạc để kích thích chính xác các tế bào thần kinh tương ứng.
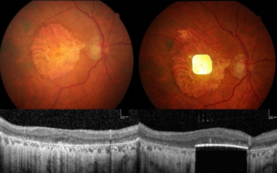
Vị trí cấy ghép và phương thức hoạt động dưới võng mạc

Mắt bên trái đã được cấy ghép chip để hỗ trợ thị giác
Chiếc chip Prima được cấy ghép một cách tinh vi ngay dưới lớp võng mạc – nơi tập trung nhiều tế bào thần kinh cảm quang nhất. Việc đặt thiết bị ngay vị trí này cho phép nó kích thích trực tiếp các dây thần kinh còn khỏe mạnh để truyền tín hiệu lên não mà không cần đến các tế bào cảm quang đã bị tổn thương hay chết đi do bệnh lý. Phương thức cấy ghép và hoạt động này là điểm khác biệt quan trọng so với những công nghệ truyền thống trước đây.

Mắt bên trái đã được cấy ghép chip để hỗ trợ thị giác
Vai trò của kính thực tế tăng cường gắn camera
Kính thực tế tăng cường là bộ phận không thể thiếu trong hệ thống hỗ trợ thị giác bằng chip Prima. Camera tích hợp trên kính đóng vai trò thu nhận hình ảnh môi trường xung quanh rồi truyền dữ liệu về bộ xử lý trung tâm. Nhờ vậy, những hình ảnh thực tế được mã hóa thành dạng tín hiệu số phù hợp trước khi gửi xuống con chip dưới võng mạc để kích thích hệ thần kinh tương ứng. Kính cũng giúp người dùng thuận tiện di chuyển và tương tác hơn với môi trường nhờ vào tính linh hoạt và sự hỗ trợ từ công nghệ tiên tiến.
Xử lý hình ảnh bằng trí tuệ nhân tạo và truyền tín hiệu hồng ngoại

Bộ xử lý ở thiết bị số chuyển hóa hình ảnh thu nhận từ camera và truyền ngược lại về mắt kính của người dùng
Sau khi thu nhận dữ liệu từ camera gắn trên kính, bộ xử lý sử dụng trí tuệ nhân tạo phân tích nhanh chóng những chi tiết cần thiết như đường nét chữ viết hay cấu trúc khuôn mặt. Hình ảnh sau đó được mã hóa thành tín hiệu hồng ngoại đặc biệt để truyền ngược lại lên kính trước khi gửi xuống con chip nhằm đảm bảo độ chính xác cao trong việc kích thích từng khu vực phù hợp trên võng mạc để tái hiện hình ảnh minh họa cho não bộ.
Quá trình này đòi hỏi sự kết hợp phức tạp giữa kỹ thuật AI và truyền dẫn tín hiệu vô tuyến để đảm bảo tốc độ phản hồi nhanh cũng như độ ổn định lâu dài khi sử dụng ngoài thực tế.

Bộ xử lý ở thiết bị số chuyển hóa hình ảnh thu nhận từ camera và truyền ngược lại về mắt kính của người dùng
Kích thích tế bào thần kinh võng mạc và truyền tín hiệu lên não

Con chip sẽ được cấy ghép vào mắt người
Sau khi tín hiệu hồng ngoại được con chip giải mã, nó sẽ kích thích trực tiếp lên các dây thần kinh còn hoạt động tại vùng dưới võng mạc theo một mẫu cụ thể tương ứng với hình ảnh ban đầu. Các xung điện sinh ra sẽ truyền thẳng lên não bộ thông qua dây thần kinh thị giác để não có thể tái tạo lại hình ảnh thu nhận.
Điều kỳ diệu nằm ở chỗ não bộ cần thời gian luyện tập để làm quen với loại tín hiệu mới này nhưng một khi đã thích nghi thì khả năng nhận biết môi trường xung quanh được cải thiện rõ rệt dù nguồn gốc ánh sáng không đến từ tế bào quang học tự nhiên nữa.

Con chip sẽ được cấy ghép vào mắt người
Kết quả thử nghiệm lâm sàng và hiệu quả phục hồi thị lực
Qua nhiều đợt thử nghiệm lâm sàng kéo dài ít nhất một năm trên nhóm bệnh nhân mắc thoái hóa điểm vàng nghiêm trọng, tỷ lệ cải thiện khả năng đọc sách đạt mức vượt kỳ vọng ban đầu. Nhiều đối tượng tham gia báo cáo có thể nhìn thấy rõ hơn chữ viết nhỏ cũng như nhận diện vật thể phức tạp hơn so với trước khi phẫu thuật. Kết quả tích cực này góp phần củng cố niềm tin về tính ứng dụng rộng rãi của công nghệ chip Prima trong việc phục hồi phần nào chức năng thị giác cho người khiếm thị.
Tỉ lệ cải thiện khả năng đọc của bệnh nhân sau một năm
Các nghiên cứu cho thấy có khoảng 80% bệnh nhân sau khi được cấy con chip Prima đều ghi nhận sự tiến bộ rõ nét về khả năng đọc chữ in lớn cũng như chữ in nhỏ sau một năm luyện tập sử dụng thiết bị kết hợp với kính thực tế tăng cường. Đặc biệt với những trường hợp bệnh lý thoái hóa điểm vàng thể khô nặng, đây là lần đầu tiên họ có thể tiếp xúc lại với văn bản in mà không cần sự hỗ trợ hoàn toàn từ người khác hay công nghệ giọng nói hỗ trợ.
Các khả năng thị giác phục hồi: đọc chữ, nhận diện khuôn mặt, vật thể
“Ngoài việc cải thiện đọc sách”, nhiều bệnh nhân còn chia sẻ họ có thể bắt đầu nhận diện lại khuôn mặt thân quen hay phân biệt đồ vật cơ bản trong nhà đúng vị trí hơn nhờ tính năng phân giải đa chiều do công nghệ AI phối hợp giải mã hình ảnh mang lại. Những cải thiện này góp phần nâng cao chất lượng cuộc sống và giúp họ tự tin hòa nhập cộng đồng hơn nhờ sự độc lập ngày càng tăng trong sinh hoạt thường nhật.
Ý kiến chuyên gia về bước ngoặt trong điều trị thị giác nhân tạo
“Việc đưa con chip siêu nhỏ có tính năng ưu việt như Prima vào ứng dụng thực tiễn là bước ngoặt chưa từng có”, tiến sĩ chuyên ngành thần kinh học đánh giá. Theo ông, đây là minh chứng rõ ràng nhất rằng công nghệ y sinh hiện đại đang dần thu hẹp khoảng cách giữa khoa học giả tưởng và y học thực tiễn, mở đường cho nhiều phương pháp điều trị khác mang tính cá nhân hóa cao hơn dành cho nhóm bệnh nhân mất chức năng cảm quan đặc thù như mắt hay tai.
Trải nghiệm thực tế của bệnh nhân sau khi cấy chip
Câu chuyện của bà Sheila Irvine trước và sau phẫu thuật
“Tôi đã gần như tuyệt vọng vì không thể đọc sách hay tự mình nhìn thấy khuôn mặt cháu nội”, bà Sheila Irvine chia sẻ về tình trạng trước phẫu thuật cấy con chip Prima. Nhưng chỉ sau vài tháng luyện tập cùng thiết bị hỗ trợ mới, bà đã lấy lại một phần lớn khả năng nhìn thấy chữ viết cũng như phân biệt đồ vật quen thuộc quanh phòng khách – điều tưởng chừng như không thể đối với bà suốt nhiều năm qua.
“Quá trình học cách nhìn theo cách mới”
“Lúc đầu tôi phải tập quen dần với những chấm sáng nhấp nháy rồi mới dần hiểu chúng tương ứng với hình dáng thật ngoài đời”, bà Sheila kể thêm về hành trình chuyển đổi giữa việc “nhìn bằng mắt thường” sang “nhìn thông qua tín hiệu điện tử”, đòi hỏi sự kiên trì luyện tập liên tục cùng đội ngũ chuyên gia nhằm tối ưu khả năng ghi nhớ mẫu hình cũng như phản xạ nhanh chóng mỗi khi di chuyển hoặc đọc sách.
“Những sinh hoạt hàng ngày được phục hồi: đọc thuốc, làm ô chữ”
“Giờ đây tôi có thể tự đọc nhãn thuốc trước khi uống hoặc chơi ô chữ cùng bạn bè mà không phải nhờ ai giúp đỡ”, bà Sheila tâm sự đầy xúc động khi kể về những sinh hoạt thường nhật bình dị nhưng quý giá đã trở lại sau quá trình điều trị bằng con chip kỳ diệu này. Niềm vui ấy lan tỏa tới nhiều bệnh nhân khác đang mong muốn tái khám phá thế giới qua đôi mắt mới được hỗ trợ công nghệ cao.
Quy trình phẫu thuật và quá trình phục hồi sau cấy ghép
“Thời gian phẫu thuật và kích hoạt thiết bị”
“Ca phẫu thuật kéo dài khoảng 90 phút”, bác sĩ chuyên khoa chia sẻ về quy trình can thiệp nhằm đặt con chip siêu nhỏ dưới lớp võng mạc mà không gây tổn thương nghiêm trọng đến cấu trúc mắt xung quanh. Ngay sau khi ca phẫu thuật hoàn tất, thiết bị sẽ được kích hoạt lần đầu để kiểm tra chức năng cơ bản trước khi bàn giao cho bệnh nhân luyện tập dài hạn nhằm làm quen với hệ thống tín hiệu mới.
Phục hồi chức năng sau phẫu thuật không đơn giản chỉ là việc sử dụng thiết bị mà còn yêu cầu bệnh nhân phải kiên trì luyện tập trong vòng nhiều tháng để não bộ thích nghi với phương thức truyền tải thông tin hoàn toàn mới lạ từ con chip phí dưới võng mạc.
Tính năng hỗ trợ trên kính thông minh đi kèm
Kính thông minh tương tác cùng con chip sở hữu nhiều tính năng tiện ích như điều chỉnh độ sáng phù hợp môi trường, lọc nhiễu tín hiệu giúp hình ảnh hiển thị rõ nét hơn cũng như cung cấp phản hồi trực tiếp tới tay người dùng qua app quản lý nhằm tối ưu trải nghiệm.
Tiềm năng phát triển và ứng dụng trong tương lai
Nhờ sự phát triển liên tục từ phía đơn vị công nghệ sinh học hàng đầu tại Mỹ cùng sự phối hợp chặt chẽ với các cơ quan y tế quốc tế, công nghệ con chip điện tử kích thước chỉ 2mm hứa hẹn sẽ mở rộng phạm vi ứng dụng lớn hơn nữa trong điều trị đa dạng nhóm bệnh lý liên quan đến suy giảm chức năng cảm quan.
Phát triển bởi công ty công nghệ sinh học hàng đầu tại Mỹ
Đứng sau dự án là một tập đoàn công nghệ sinh học danh tiếng tại Mỹ chuyên nghiên cứu các giải pháp y sinh tiên tiến nhằm nâng cao chất lượng cuộc sống cho người mắc bệnh mãn tính hoặc di chứng tổn thương thần kinh.
Hợp tác với các cơ quan y tế nhằm đưa công nghệ vào sử dụng đại trà
Thông qua các chương trình hợp tác quốc tế cùng chính quyền địa phương, sản phẩm chi phí thấp nhưng chất lượng cao hướng tới sớm đưa vào hệ thống khám chữa bệnh chung phục vụ đại đa số người dân gặp vấn đề về thị lực.
Ý nghĩa đối với người mù toàn cầu và xu hướng công nghệ thần kinh trong y học
Sự ra đời của con chip siêu nhỏ mở ra kỷ nguyên mới cho ngành y học thần kinh tái tạo giác quan vốn đầy thử thách lâu nay; đồng thời mang lại hy vọng to lớn cho cộng đồng người mù trên khắp thế giới về một tương lai hòa nhập bình thường cùng xã hội nhờ các phương tiện hỗ trợ kỹ thuật tiên tiến.
Bước tiến vượt bậc mang hy vọng cho người mất thị lực
Công nghệ con chip điện tử siêu nhỏ chỉ 2mm đã thực sự tạo nên phép màu giúp những người từng mất đi ánh sáng hy vọng có thể đọc sách trở lại và cải thiện cuộc sống hàng ngày một cách đáng kể. Đây không chỉ là thành tựu khoa học kỹ thuật xuất sắc mà còn là biểu tượng của niềm tin vào sức mạnh chữa lành bằng công nghệ hiện đại dành cho cộng đồng khiếm thị toàn cầu.







